- Choroidal Neovascular Membrane in Pediatric Patients: Long-Term Outcomes of Anti-VEGF Therapy
- Clinical Outcomes of Preserflo MicroShunt versus Trabeculectomy: A Retrospective 6-Month Study
- Metric Causes of Refractive Errors of the Eye
- Outcomes of Chandelier-Assisted Segmental Scleral Buckling Compared to Conventional Scleral Buckling for Primary Rhegmatogenous Retinal Detachment: A comparative retrospective study
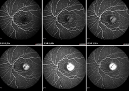
- Radiation Maculopathy in Patients with Malignant Melanoma of the Corpus Ciliare and Choroidea Following One-Day Session of Stereotactic Radiosurgery



























